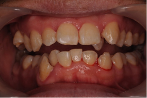
whitening-case03
|
2022.11.29
| 診療時間 | 月 | 火 | 水 | 木 | 金 | 土 | 日/祝 |
|---|---|---|---|---|---|---|---|
| 09:00~13:30 | ● | ● | ● | ● | ● | ● | - |
| 15:00~20:00 | ● | ● | ● | 18時 まで |
● | 18時 まで |
- |
休診日曜・祝日、夏期休暇、年末年始
お支払い方法現金・クレジットカード・PayPay

※クレジットカード払いは自費診療のみとなります。
※PayPay払いは、保険診療、自費診療のどちらでもお支払いいただけます。
COPYRIGHT© 大阪市阿倍野区西田辺 ふくだ歯科 ALL RIGHT RESERVED.